Pain Clinic

통증 클리닉

mobile background
mobile background
mobile background

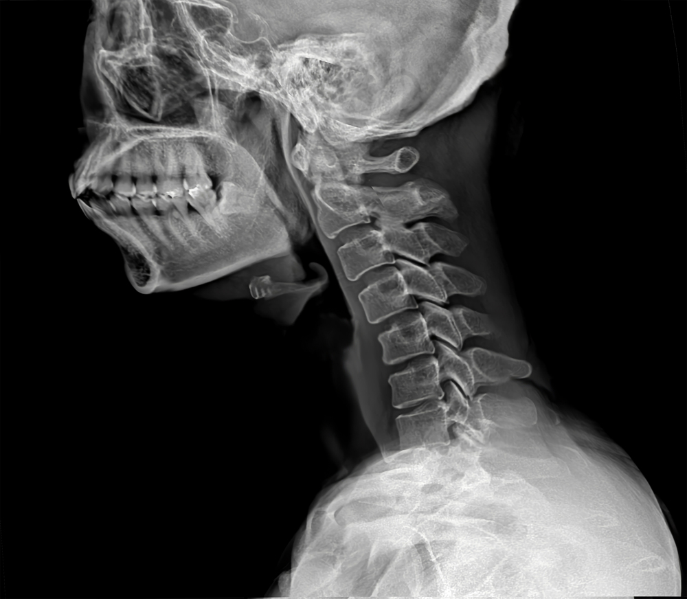
  거북목증후군


"목이 앞으로 빠진 자세가 일상이 되었다면, 
지금이 바로 교정할 때입니다."
 

거북목은 경추의 C자 커브가 무너지면서

목이 앞으로 나온 상태를 말합니다.
오랜 스마트폰·컴퓨터 사용으로 현대인에게

매우 흔하게 발생하는 기능적 질환입니다. 

mobile background

Symptoms

거북목증후군 주요증상

어깨 결림 및 목 뒤 뻣뻣함
장시간 앉아 있을 때 목과 어깨 피로감
머리가 무겁고 숙일수록 부담 증가
뒷목 통증과 두통 반복되는 분
자세가 구부정하고 목선이 짧아진 경우

Treatment Methods

치료방법

신경치료
신경치료
염증으로 자극받은 신경에 직접 약물을 주입해 통증을 빠르게 완화합니다.
약물치료
약물치료
통증과 염증을 억제하는 약물을 통해 증상 개선과 일상 회복을 돕습니다.
도수치료
도수치료
치료사의 손을 이용해 틀어진 척추·골반을 교정하여 통증을 줄입니다.
물리치료
물리치료
전기, 온열, 초음파 등의 장비를 통해 통증을 완화하고 회복을 촉진합니다.

  어디가 아프신가요?

언주편안한 마취통증의학과는올바른 진료를

제공하여, 신뢰할 수 있는 병원이 되도록

최선을 다합니다.

통증 없는 하루,

그 평범함이 다시

기적처럼 느껴질 때까지.

몸의 아픔은 마음까지 무겁게 만듭니다.

우리는 당신의 일상이 다시 편안해질 수 있도록,

곁에서 함께합니다.


EONJU PYEONANHAN PAIN CLINIC


통증 없는 하루,

그 평범함이 다시 기적처럼 느껴질 때까지.

몸의 아픔은 마음까지 무겁게 만듭니다. 우리는 당신의 일상이 다시 편안해질 수 있도록, 곁에서 함께합니다.


EONJU PYEONANHAN PAIN CLINIC



언주편안한마취통증의학과의원

서울시 강남구 봉은사로218 2층

 대표 : 김윤광 | 사업자번호 : 808-99-01824

TEL : 02-6221-8275 | FAX : 02-6092-8275

Copyright© 언주편안한마취통증의학과의원. ALL RIGHT RESERVED


언주편안한마취통증의학과의원 | 대표 : 김윤광 | 서울시 강남구 봉은사로218 2층

사업자번호 : 808-99-01824 | TEL : 02-6221-8275 | FAX : 02-6092-8275

Copyright© 언주편안한마취통증의학과의원. ALL RIGHT RESERVED